Motion-Preserving Spine Surgery

(Next-generation disc replacement and non-fusion techniques to restore natural movement)

Spine surgery no longer means losing flexibility or living with a fused back. Thanks to modern motion-preserving techniques, we can now treat disc problems and spinal compression while keeping your natural spinal movement intact. This is especially valuable for younger, active patients and athletes who want to stay mobile without long-term stiffness.

At Bangalore Back, I specialize in artificial disc replacement (ADR) and dynamic stabilization procedures that maintain the spine’s natural motion. Our focus is to provide global-standard care right here in South India — using advanced implants, navigation, and AI-assisted planning to ensure safety, precision, and longevity.

Understanding Motion-Preserving Spine Surgery

Traditional spine fusion permanently joins two or more vertebrae, which removes movement at that level. Motion-preserving spine surgery, on the other hand, treats pain and instability while allowing the spine to bend, twist, and move as naturally as possible.

Common techniques include:

  • Cervical Artificial Disc Replacement (ADR)
  • Lumbar Disc Replacement (select cases)
  • Dynamic Interspinous Devices or Spacers
  • Motion-preserving decompression using endoscopic techniques
  • Vertebral Body Tethering (in select paediatric scoliosis cases)

Who Can Benefit from Motion-Preserving Surgery

These procedures are best suited for patients who want long-term results without losing spinal flexibility. Ideal candidates include:

  • Young or middle-aged adults with single-level disc disease
  • Athletes or fitness enthusiasts
  • Patients with early degenerative disc disease
  • Individuals with cervical disc herniation or radiculopathy
  • Patients needing revision after prior fusion (to preserve adjacent levels)

When to Consider Motion-Preserving Surgery

You might consider motion-preserving surgery if:

  • You have persistent neck or back pain due to a damaged disc
  • MRI shows single-level disc degeneration without instability
  • You want to avoid fusion or stiffness
  • You lead an active lifestyle and need full mobility
  • You’re exploring alternatives to long-term pain medication or limited motion

Our Surgical Techniques

At Bangalore Back, we use globally approved implants like Mobi-C™, Prodisc-C™, and Activ-L™, along with navigation and robotic support. Every procedure is planned with 3D and AI-based imaging to customize implant sizing, alignment, and motion preservation.

Our key motion-preserving procedures include:

  • Cervical Artificial Disc Replacement (ADR): Maintains neck mobility while relieving nerve pressure.
  • Lumbar Disc Replacement: For select cases of discogenic back pain with preserved alignment.
  • Dynamic Stabilization Devices: Support motion in patients not suitable for full disc replacement.
  • Endoscopic Decompression: Relieves pressure without disturbing spinal stability.
Request an appointment
Doctor
Spine Graphic

Why Patients Choose Bangalore Back

  • Expertise in artificial disc replacement and dynamic stabilization
  • Use of global-standard implants (Mobi-C™, Prodisc™, Activ-L™)
  • AI-assisted planning and robotic guidance for precision
  • Ethical, Transparent, and Evidence-Based Care
  • Faster recovery and motion-preserving outcomes
  • Trusted by international patients for advanced spine solutions in South India

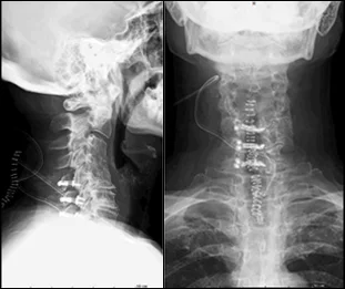
Before & After Clinical Gallery

We showcase real patient cases (with consent), including:

  • Pre- and Post-operative MRIs and X-rays
  • Disc Herniations, Stenosis, and Spondylolisthesis cases
  • Visible improvement in alignment and decompression
Before
Before
After
After

Recovery And Rehabilitation

Patients undergoing motion-preserving spine surgery typically recover faster than those having fusion. Most walk within 24 hours and resume light activities within 2–3 weeks.

 

Typical Recovery Path:

  • Hospital stay: 1–3 days
  • Mobilization: Within 24 hours
  • Back to work: 2–4 weeks (desk jobs)
  • Full recovery: 6–8 weeks (active individuals)
  • Physiotherapy: Focused on posture correction, flexibility, and core strengthening

 

Because these procedures retain motion, patients report faster return to sports, driving, and daily life compared to fusion.

FAQ’s

Is artificial disc replacement safe?

Can I undergo disc replacement if I already had a spine surgery?

Will I set off metal detectors at airports?

Can I travel for motion-preserving spine surgery in India?

Is disc replacement better than fusion?

Let’s Start Fixing Your Back, Together.

Whether it’s a nagging pain, an unclear diagnosis, or a question about surgery—your spine deserves expert attention. Schedule a one-on-one consultation with Dr. Abhishek Mannem and get a personalized path to recovery.

    calendar